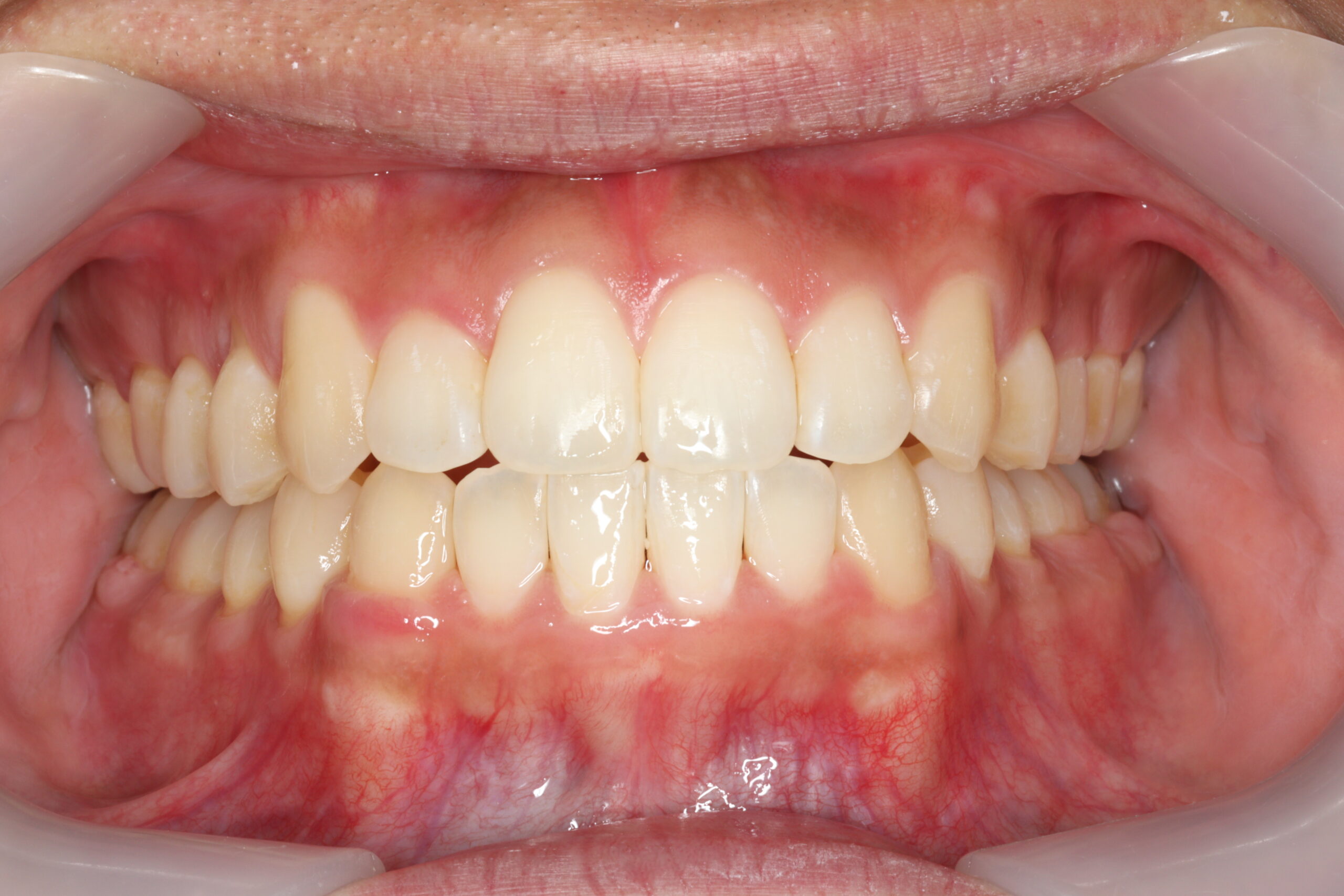
24歳男性 1年11ヵ月
24歳 男性
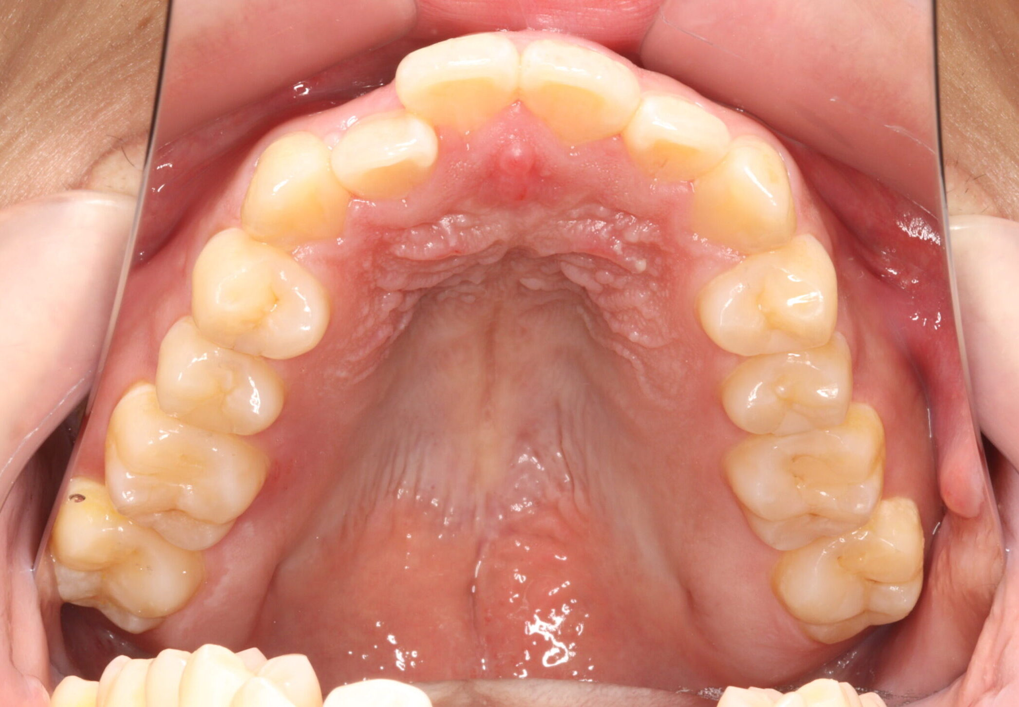
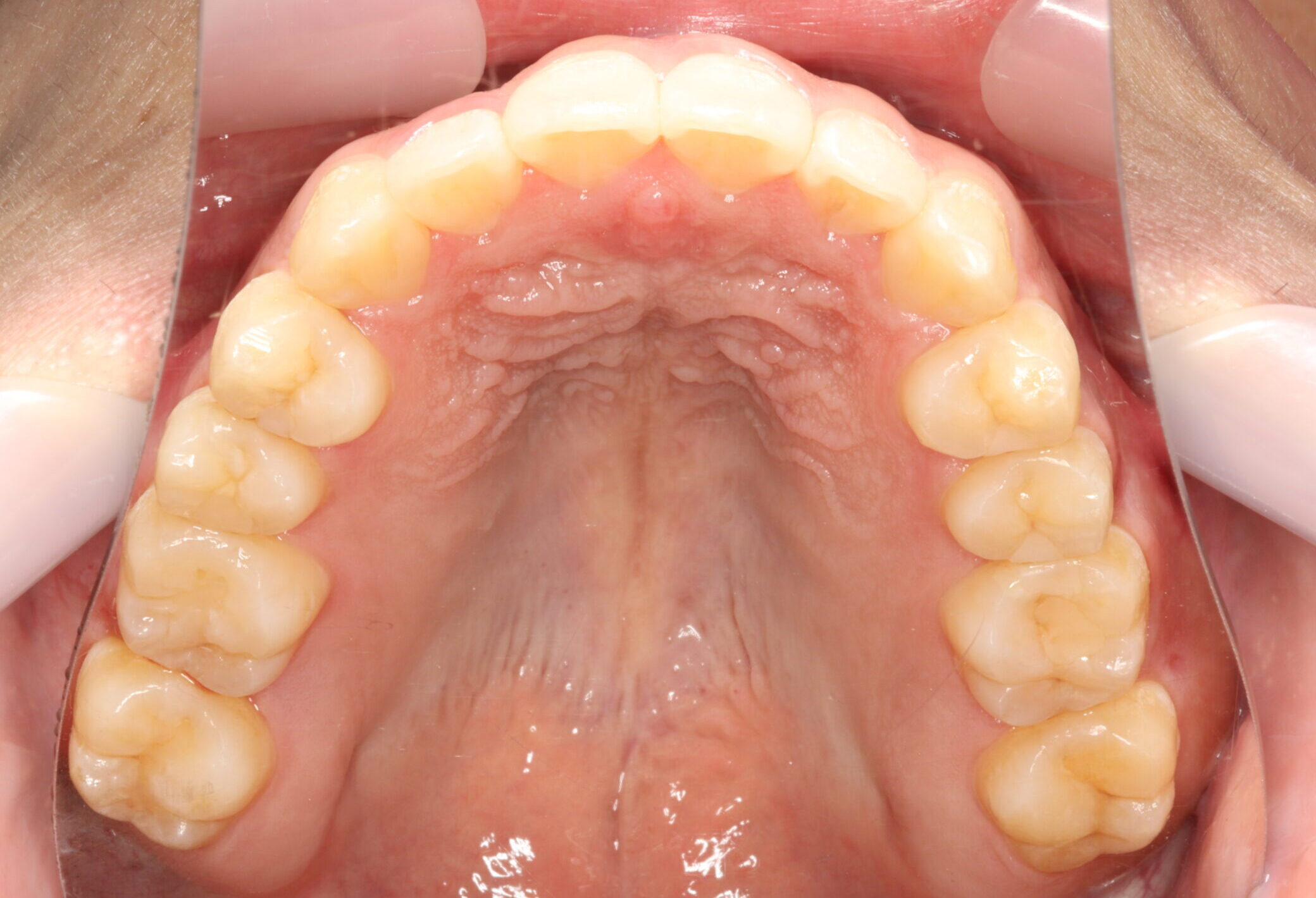
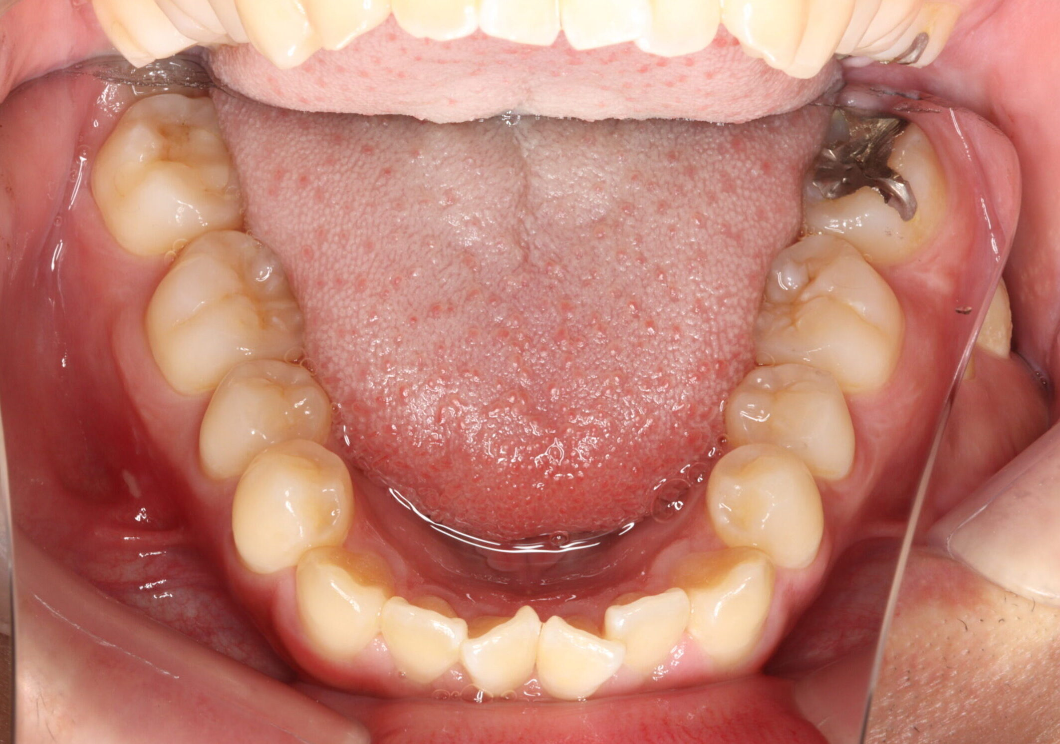
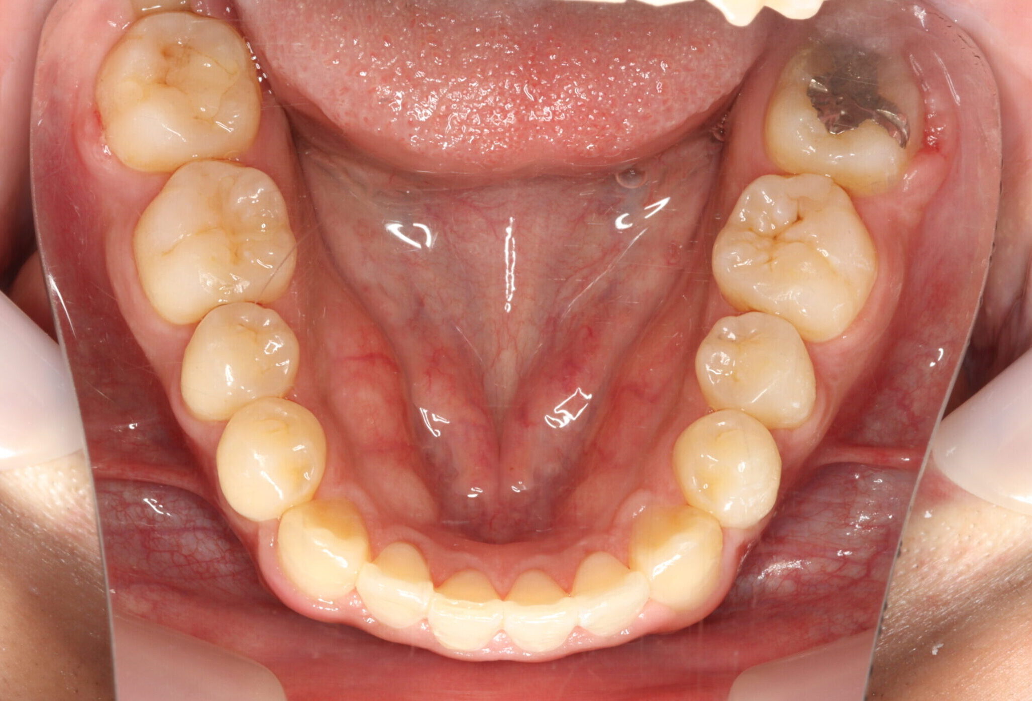
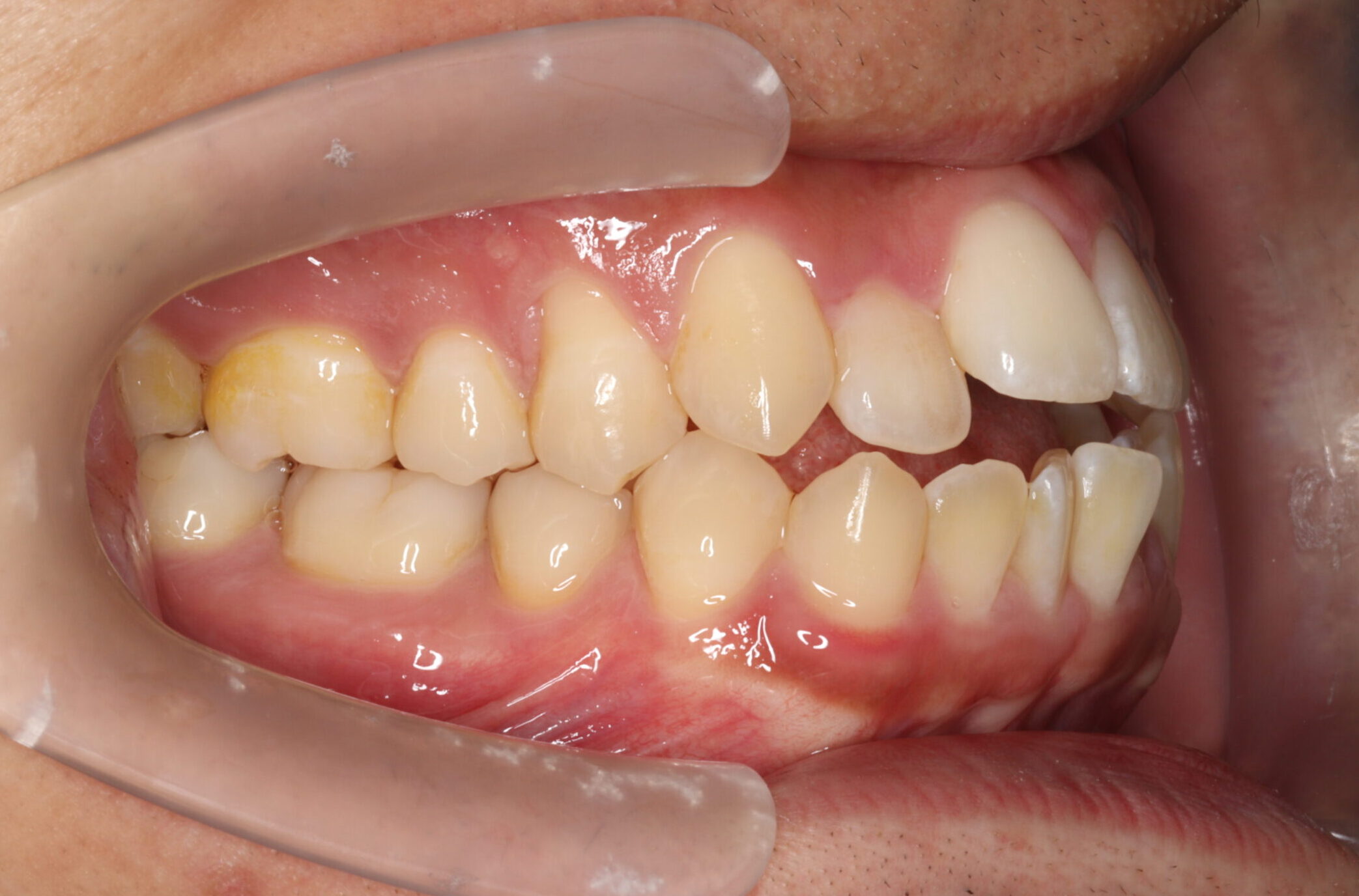
治療前

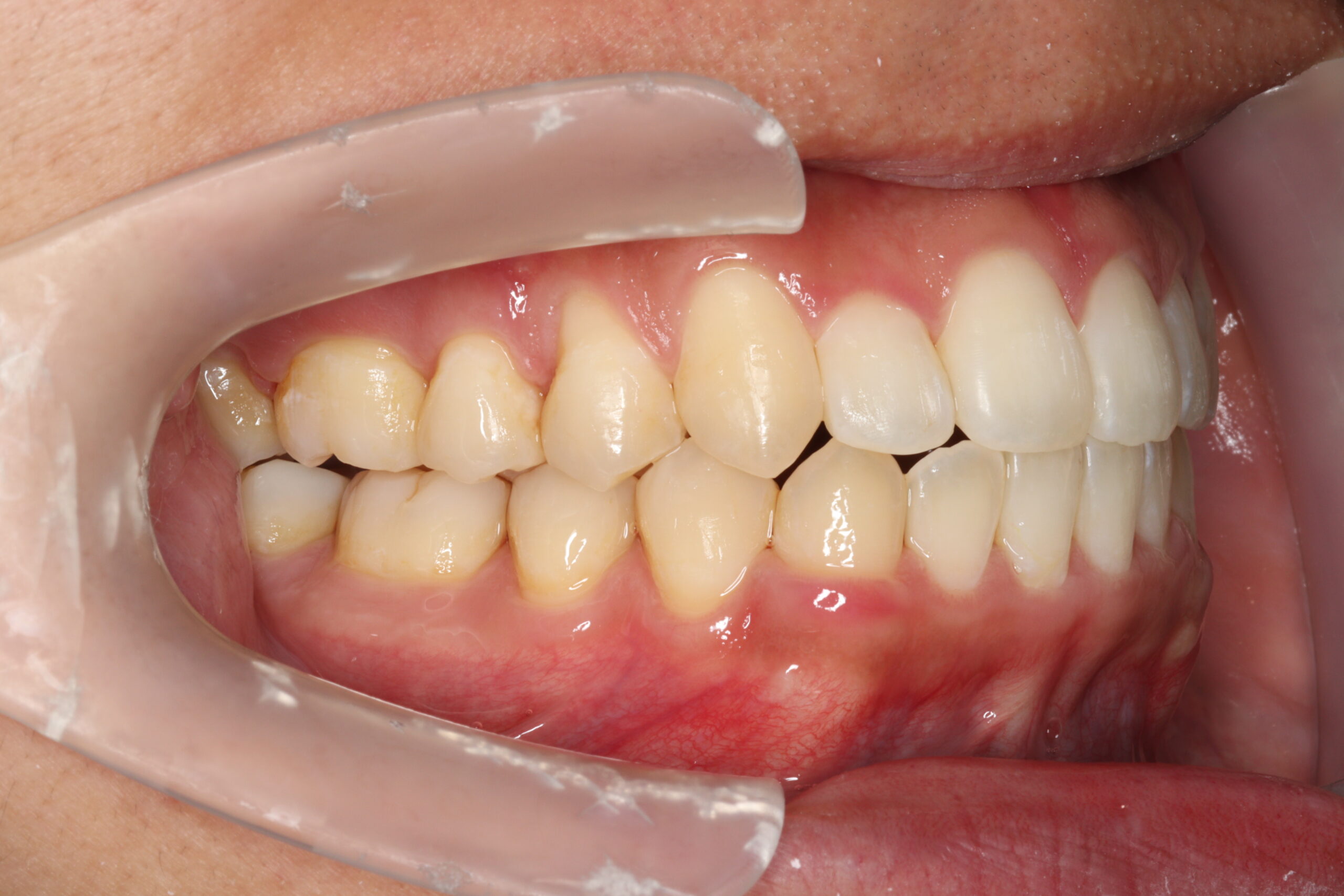
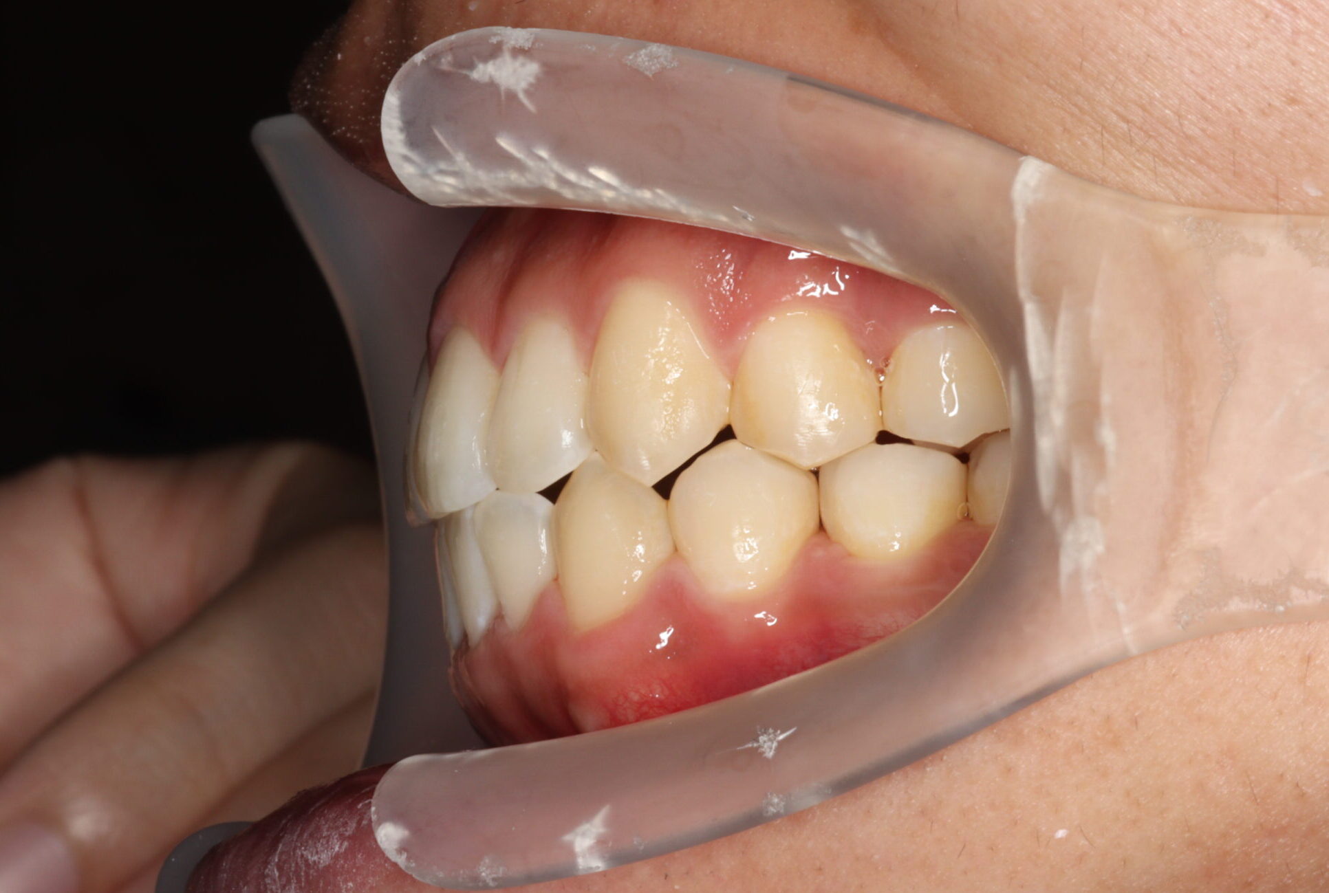
治療後

治療前

治療後

治療前

治療後

治療前

治療後

治療前

治療後

治療期間
1年11ヵ月
通院回数
22回
治療費
約1,111,000円(税込)
想定される副作用またはリスク
・歯根吸収、歯肉退縮、口内炎等が起こる可能性があります。
・歯ブラシが不足することで虫歯や歯肉炎が起こる場合があります。
・歯並びが変化していくことで顎の関節に痛みが伴ったり、顎の位置が変化することで治療の方針や仕上がりが当初の計画より変更になる場合があります。
・歯ブラシが不足することで虫歯や歯肉炎が起こる場合があります。
・歯並びが変化していくことで顎の関節に痛みが伴ったり、顎の位置が変化することで治療の方針や仕上がりが当初の計画より変更になる場合があります。
【主訴】でこぼこ、上下の歯が噛まない
【診断】開咬、叢生(でこぼこ)、上下顎前歯唇側傾斜、舌突出癖
【治療方法】マルチブラケット装置にて排列を行う。咬合の確立のため顎間ゴムを併用し、舌突出癖の改善のため筋機能療法を行う
