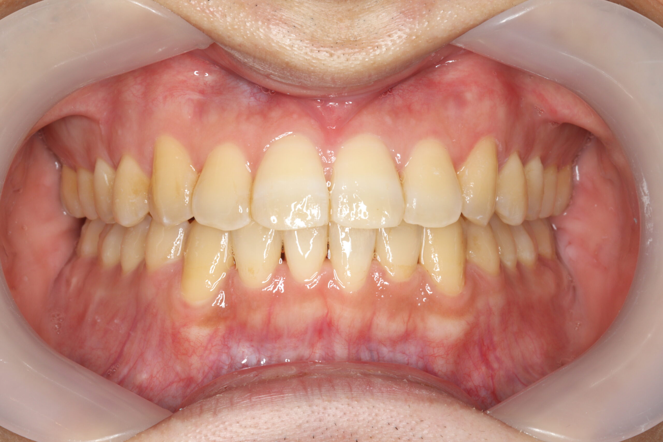
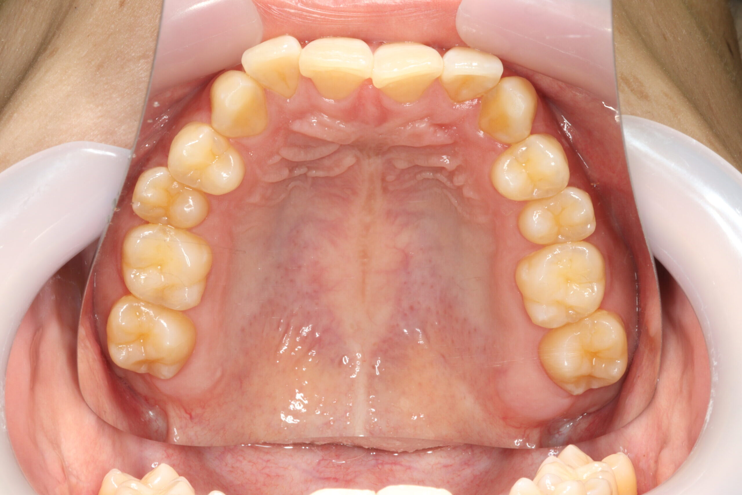
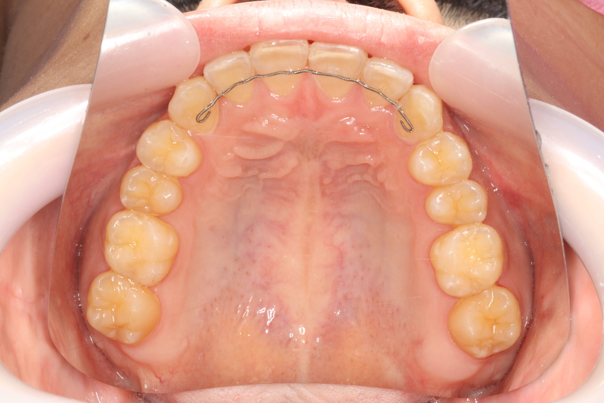
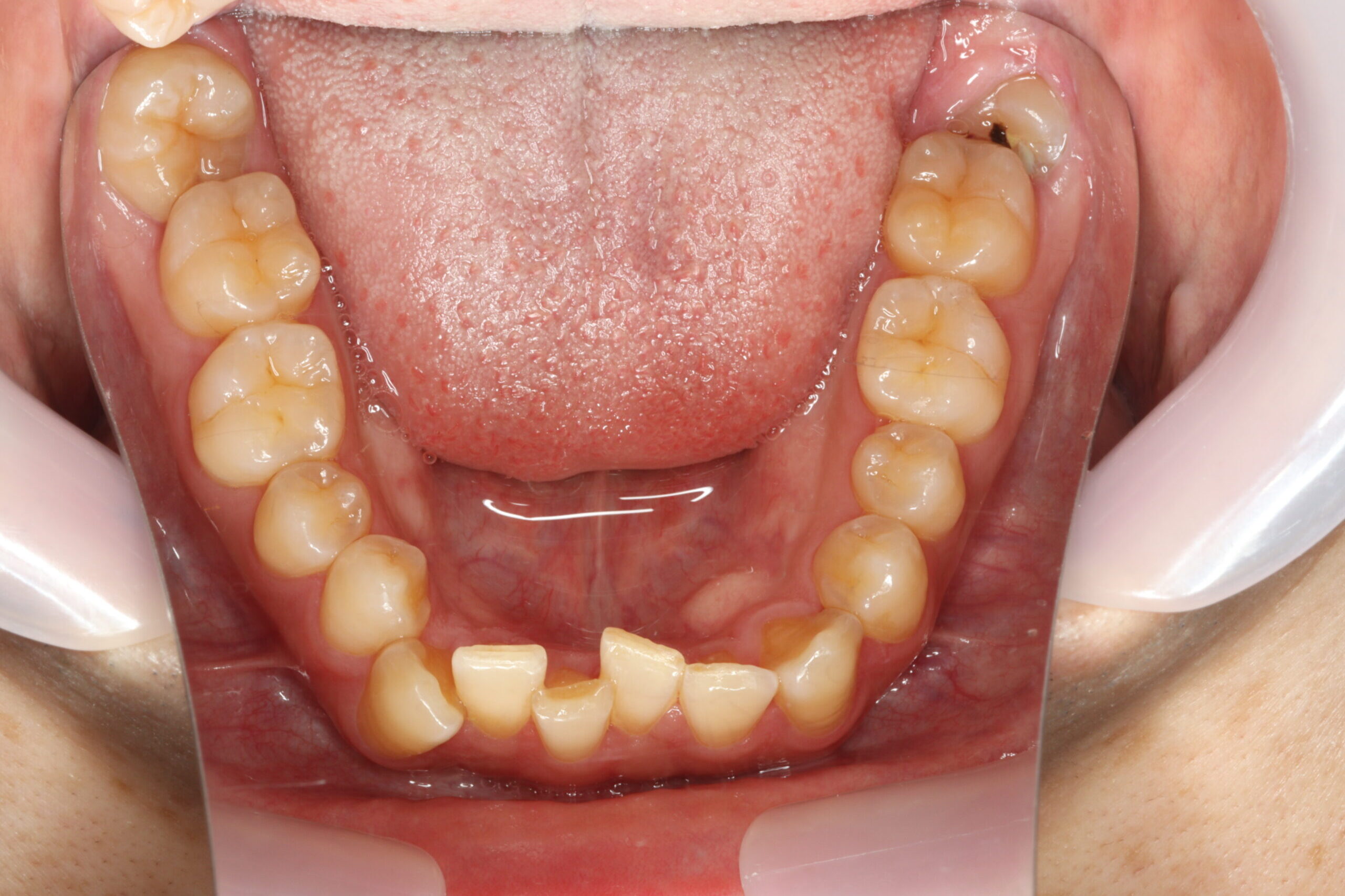
26歳男性 1年2ヵ月
26歳 男性
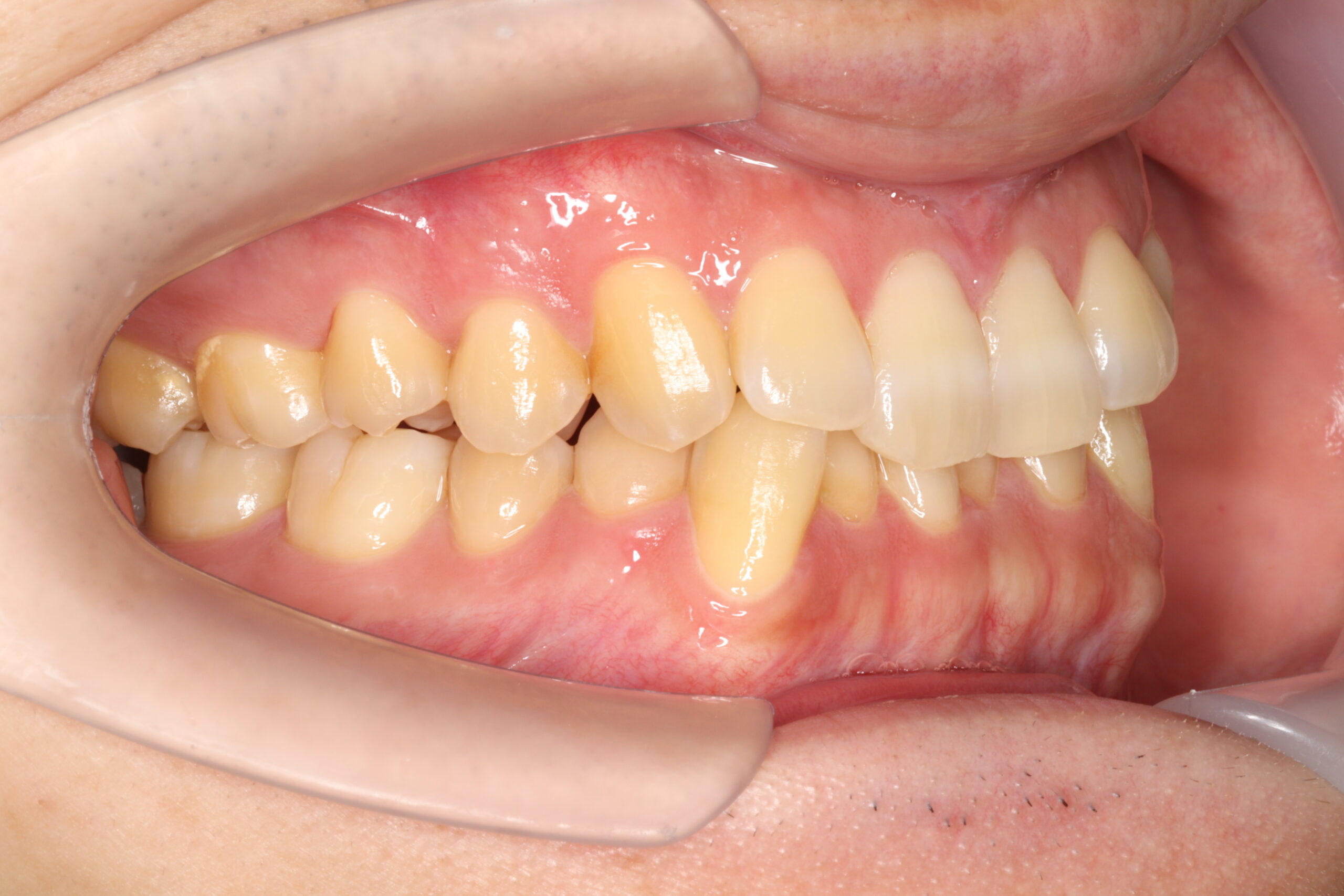
治療前

治療後

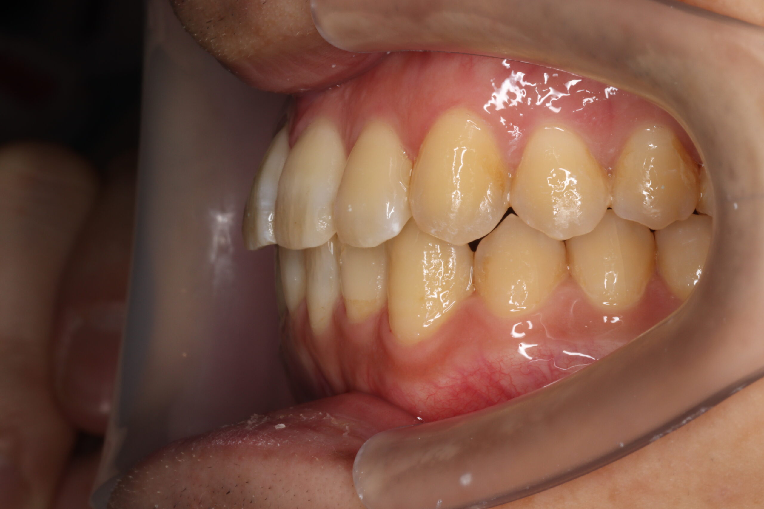
治療前

治療後

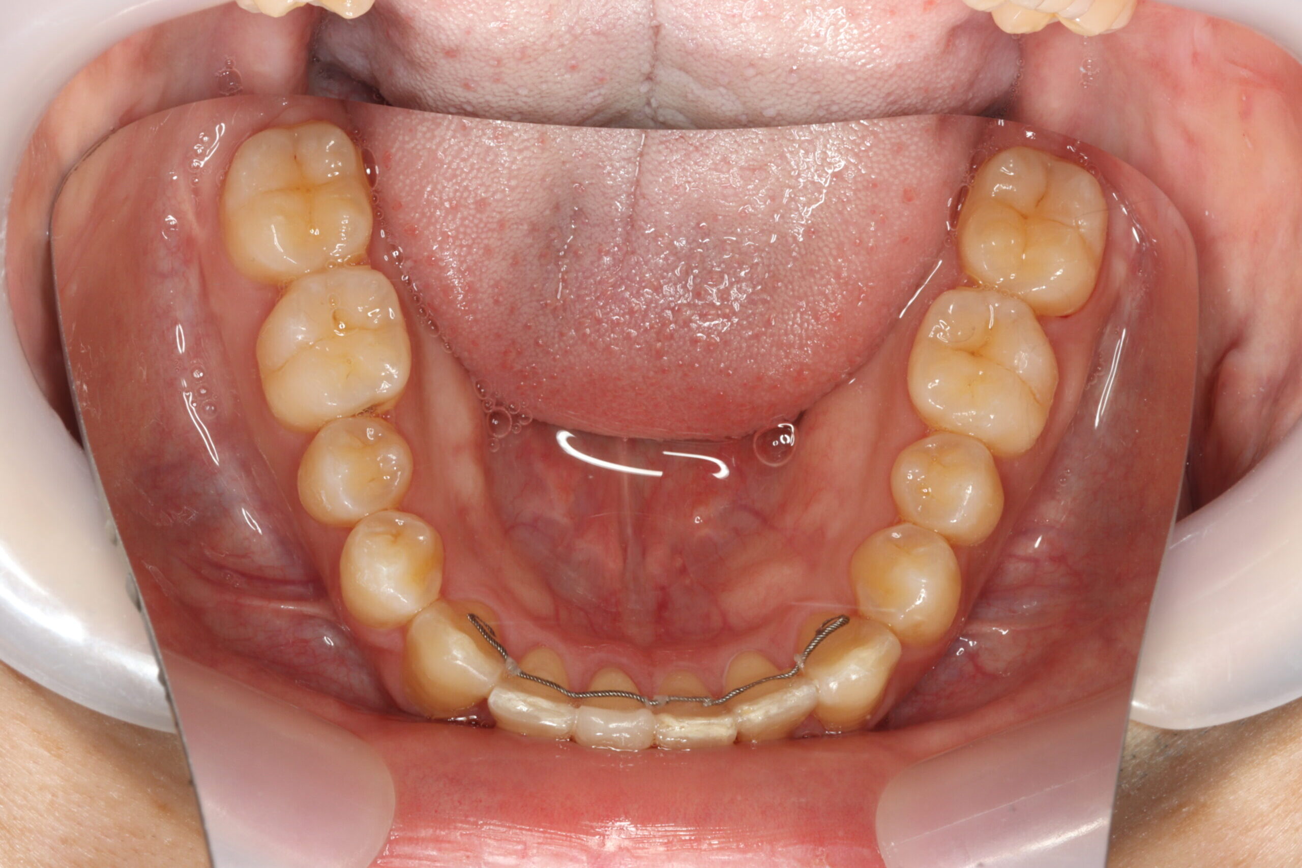
治療前

治療後

治療前

治療後

治療前

治療後

治療期間
1年2ヵ月
通院回数
18回
治療費
約1,080,000円(税込)
想定される副作用またはリスク
・歯根吸収、歯肉退縮、口内炎等が起こる可能性があります。
・歯ブラシが不足することで虫歯や歯肉炎が起こる場合があります。
・歯並びが変化していくことで顎の関節に痛みが伴ったり、顎の位置が変化することで治療の方針や仕上がりが当初の計画より変更になる場合があります。
・歯ブラシが不足することで虫歯や歯肉炎が起こる場合があります。
・歯並びが変化していくことで顎の関節に痛みが伴ったり、顎の位置が変化することで治療の方針や仕上がりが当初の計画より変更になる場合があります。
【主訴】でこぼこ
【診断】叢生(でこぼこ)、過蓋咬合、下顎前方位、Low angle、 上顎前歯軽度唇側傾斜、下顎前歯舌側傾斜
【治療方法】マルチブラケット装置にて排列を行う。
